お久しぶりです^^
ここ数ヶ月 経過観察していましたが、先月から最終段階!噛み合わせの微調整をしています。
やっとここまで来たんだな〜。としみじみ^^矯正が終わったら…まず写真を撮ろう。とかホワイトニングしよう。とか楽しみが沢山まっていますので、あともう一踏ん張り頑張ります!
☆次回の矯正日☆
H30.9.12 (水) 17:00〜21:00
H30.9.26 (日)9:00〜17:00
矯正は月2回、大学病院から先生が来ています。ご予約の際はお早めにご連絡をお願い致します。
こんばんは☆
最近の矯正はワイヤーとゴムの交換を毎月やっています。
ある程度並んできましたので一度Blogをお休みさせていただいて、矯正日の報告をさせてもらいすので宜しくお願い致します(>_<)
次回の矯正日は、1月10日(水)17:00〜
1月28日(日)になります。
お久しぶりです^ ^
ついに下にも装置が付きました!
付けてから3.4日間は痛みがあって
食事が液体の物しか食べられませんでした(T_T)
今は凄く食事がしずらいですが何とかやっています^ ^
上下に付いて歯磨きを今まで以上に気を付けなければと思い、月一でメンテナンスに通っています^ ^
衛生士さんが磨き方を丁寧に教えてくれるので矯正とは別にメンテナンスにも来て下さいね(^o^)/
次回の矯正は9月13日(水)17時〜
9月24日(日)になります。
こんにちは
受付の多比良です(^o^)/
治療から一週間経ちましたが、ジワジワ鈍い痛みがずっとあります。
久しぶりの感覚で痛いはずなのに少し嬉しいです(笑)
それから最近動きが悪かったのでワイヤーをホワイトワイヤーから金属のワイヤーに付け替えました。
こんな感じです(>_<)
金属ワイヤー

ホワイトワイヤー

ホワイトワイヤーと比べると少し目立ちますが…動きが良くなると思って我慢します(>_<)
次回の矯正は7月30日(日)になります。
(さらに…)
こんにちは、受付の多比良です♫
前回から親知らずを抜いてスペースができて動いているのかワイヤーが頬に当たって痛いです…>_<…食事も硬いものは噛めません。
話は変わりまして最近矯正の予約が取りづらくなっていますので予約される際は早めのご連絡をお願いします。
次回の矯正日は3月26日(日)になります。
こんばんは☆
矯正から一週間経ちました。今の所痛みは全くなく毎日快適に過ごせています(^-^)/
最近はあまり大きな動きがないそうで…停滞期でしょうか?矯正って長いな〜っと改めて実感しています。
まだ分かりませんが久喜歯科スタッフがもう一人矯正を始めるかもしれません!
矯正をしている人にしかわからない事って沢山あるので、それを話せる人が身近にいてくれると思うと嬉しいですね(^-^)/
こちらもまた何かありましたら報告しますね♫
次回の矯正は2月26日(日)です
こんにちは^o^
今回はワイヤーを変えて調整をしました。
調整をした直後は右側が何もしていなくても痛かったですし、食事は柔らかいものしか食べられませんでした。4.5日くらい経った今はもう痛みは消えて食事は今まで通りとれています。
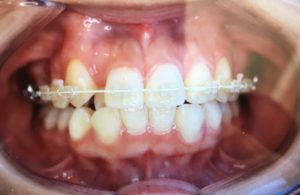
では、久しぶりに写真をUPします‼︎

今は奥歯を移動しているので正面から見た感じは何も変化がありません…もう少し動いてきたら下の歯にも装置を付けていくそうです。
下にも装置が付いてきたら違和感が凄そうですね…頑張ります(;o;)
次回の矯正は来年1月29日(日)になります。
皆さん良いお年を…♪
こんばんは(>_<)
今回はあまり動きがなかったので矯正の豆知識を紹介します。
歯並びが悪いとどうなるの?です
・歯を清潔に保つことが難しくなります
歯と歯の間に汚れがたまりやすくブラッシングが不十分になり虫歯や歯周病にかかるリスクが高くなります。
・上下の噛み合わせが悪くなります
噛み合わせが悪いとよく噛めず消化器官に負担がかかったり、顔の筋肉の負担がアンバランスになり頭痛や肩コリの原因になります。
・口元の美しさに影響する場合があります
歯並びによって横顔のラインや口元の見た目に影響を及ぼし人によってコンプレックスだと感じてしまい人前で笑顔になれないなど、心理的な影響を与える場合があります。
歯並びが悪いと色々な問題がありますね…(>_<)
自分の心と体の健康のために少しでも矯正に興味がある方は、まずは相談に来てみて下さいね♫
次回の矯正は11月27日(日)になります。
こんばんは^o^
多比良です。
先日の矯正でまた新たな装置が付きました!
こちらです

もう口の中がいっぱいで凄く話しづらいです(>_<)
特にカ行が全く発音できません…
食べ物を食べるのは何とか出来ますが、飲み込むのが凄く大変です。
最近噛み合わせが変わってきたのか下唇をよく噛んでしまうのでこんなに大きな口内炎も出来てしまいました…

歯も口内炎も痛くて大変ですが…綺麗に並ぶ日を励みに頑張ります(>_<)!
次回の矯正は10月23日(日)になります。