「美は数値で表現できます」
ご存知でしたか?
美しい口元は「計算」で導き出せます。
つまり、単に白い被せ物を装着すればいいのではありません。
失敗したくない方、
他院での治療をリカバリーしたい方。
ご相談ください。

ご存知でしたか?
美しい口元は「計算」で導き出せます。
つまり、単に白い被せ物を装着すればいいのではありません。
失敗したくない方、
他院での治療をリカバリーしたい方。
ご相談ください。

皆様は「歯を綺麗にする」というと、どのようなことをイメージされますか?
芸能人のような白い歯?
全体の歯とバランスが取れた歯?
女性らしい、丸みのある歯?
どれも間違いではありません。
しかし1点、皆様に理解していただきたいことがあります。
それは多くの人が美しいと感じる「客観的な美」があるということ、そして口元の美しさは「歯だけではなく、歯肉や唇とのバランス」から成り立っているということです。
当院では「客観的な美」と「皆様のご要望」を融合させ、歯だけではなく、歯肉や唇を含めたバランスの取れた美をご提供します。
具体的にどのようなことを行うかは、これからご紹介します。

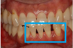
歯を白くきれいにする審美セラミック治療。
白いセラミック製の被せ物を装着し、歯の白さ・形を整えます。
患者様は、白い被せ物を装着すれば、綺麗な口元になるとイメージされていると思います。
それは間違いではありません。
しかし単に白い被せ物を装着したとしても、他の歯との白さのバランス、形態のバランス、歯肉とのバランスが調和していなければ、お口全体を見た際に、本当の意味で「キレイ」とはなりません。美は細部に宿るためです。
細部に美を宿らせるための取り組みをご紹介します。

ゴールデンプロポーション(Golden Proportion)
「中切歯(1.618)」:「側切歯(1)」:「犬歯(0.618)」の配列にすることで前歯の審美性が向上します。

正中線と歯並びのバランス(Median line)
正中線とは、顔の真ん中を通るラインのことです。
このラインに前歯の中央を合わせることで、バランスの取れた歯並びになります。

生物的幅径(Biological width diameter)
口元の美しさは「歯肉」も重要な役割りを果たします。生物学的幅径を尊重し、適合性の良い被せ物を製作する必要があります。

先ほどもお伝えしましたが、口元の美は「歯肉のバランス」とも関係しています。例えば、歯肉の退縮や歯肉の形状が悪いと、いくら綺麗な被せ物を入れたとしても、口元全体の審美性が低下します。
そこで当院では「歯周形成外科」とう手法を利用し、歯肉の位置を移動したり、歯肉結合組織等を移植したりすることにより、歯肉のバランスを整えることを行っています。


審美セラミック治療では、マイクロスコープや高倍率ルーペを利用します。
これらは「肉眼」よりも視野を数倍にも拡大してくれる機器です。
これらを利用することで、肉眼では到達できない精度の高い治療を行うことができます。
精度が高まることで、審美性の向上の他、被せ物を長持ちさせることができます。

多くの方が、歯科医師が詰め物・被せ物を製作するものと考えていますが、実際は異なります。歯科医師の指示に基づき「歯科技工士」が被せ物等を製作していきます。

そのため、歯科技工士の知識・経験・技術力によって出来上がってくる被せ物等のクオリティが大きく変わります。もっと言ってしまうと、歯科医院がどの歯科技工士と連携しているかで被せ物等のクオリティが異なるということです。
当院では審美性の優れた被せ物等を製作する優秀な歯科技工所と連携しています。

「他院で審美的な治療をしたが、納得いかないので再治療してほしい」という依頼が当院には多くあります。

歯科医院側にも色々な事情があると思いますが、「コンプレックスを改善したい!」「自分を変えたい!」と覚悟をもって来院される患者様に対し、誰が見てもバランスが悪い治療をするのはいかがなものかと思います。
当院の審美セラミック治療におけるコンセプトは「確立された美の創造」、そして「創造した美の長期安定」の2つです。
他院での治療に納得のいっていない方、もっと上位の審美性を追求したい方。
まずはご相談ください。
当院では、患者様が抱えていらっしゃるお口のお悩みや疑問・不安などにお応えする機会を設けております。どんなことでも構いませんので、私たちにお話ししていただけたらと思います。
ご興味がある方は下記からお問い合わせください。
